Найпотужніший у світі МРТ зробив перші зображення людського мозку
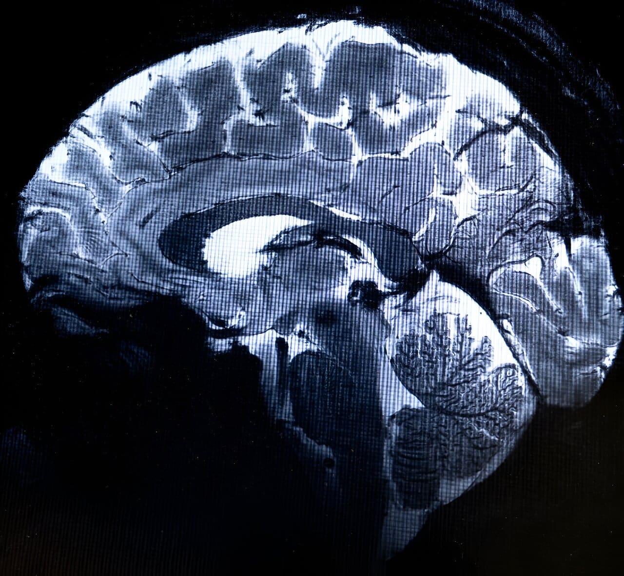
Наймогутніший у світі магнітно-резонансний томограф (МРТ) створив перші знімки людського мозку з десятикратною точністю порівняно зі звичайними
тесла
,
Заклад
,
Джерело
Читати докладніше
UKR.NET
+38 (044) 392-03-02
reklama@ukr.net
UKR.NET