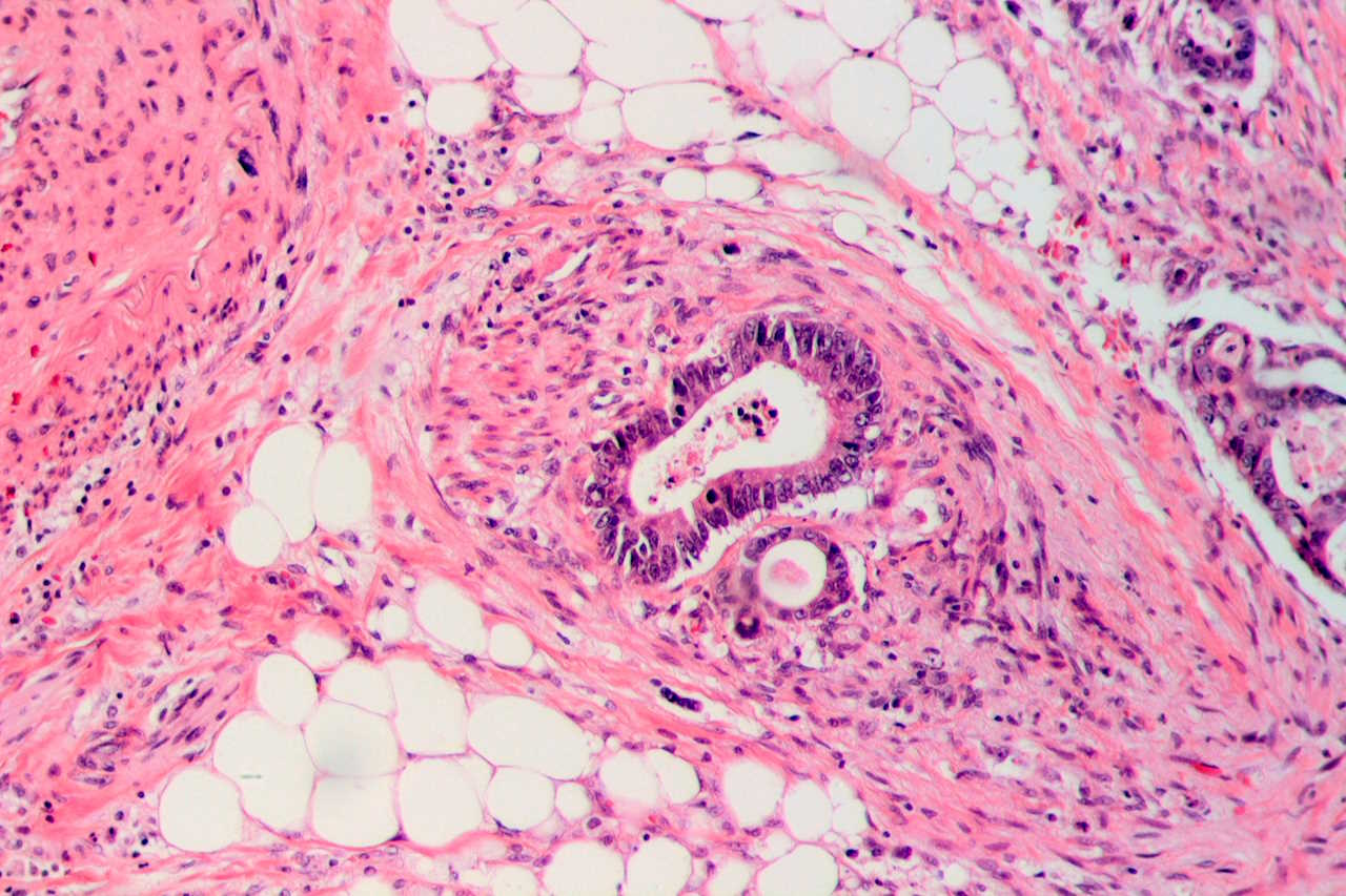
Біологи перетворили клітини раку кишківника назад на здорові
Корейські науковці виявили три ключові гени, блокування яких переворило ракові клітини на здорові. Виявити ці гени вдалося за допомогою розшифрування
Терло
,
Ракова
,
Раків
,
Раково
,
Раки
Читати докладніше
UKR.NET
+38 (044) 392-03-02
reklama@ukr.net
UKR.NET